Montclair Crowns and Bridges
Porcelain Crowns
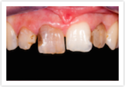
Applied Procedures: Porcelain Crowns
P22002_ss8831bs_t P22002_ss8831ys_t
Before Photo After Photo
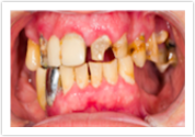
Applied Procedures: Porcelain Crowns
P22002_ss8832bs_t P22002_ss8832ys_t
Before Photo After Photo
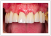
Applied Procedures: Porcelain Crowns, Dental Bridges
P22002_ss8833bs_t P22002_ss8833ys_t
Before Photo After Photo